Inspiring Smile Transformations by Our Team

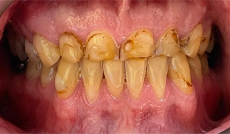
Image
Before
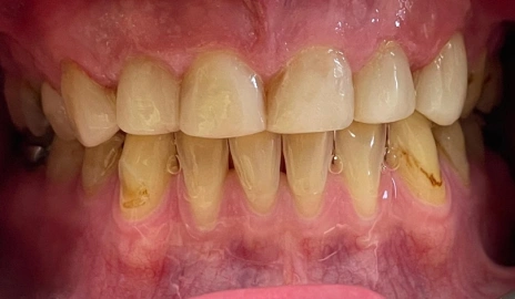
Image
After
Image
Before
Image
After
Image
Before
Image
After
Image
Before
Image
After

New Patients and Emergency Appointments Welcome